Tel. 91 893 30 47

Desde 1990 ofreciendo el mejor servicio, es garantía de nuestra calidad y profesionalismo.

Los contrastes, la función y la estética, son la norma en su clínica dental Apolonia

Muchas razones por las cuales escoger Apolonia

* Más de 20 Años de experiencia. * Diagnostico y Examen inicial sin costo * Todas las especialidades odontológicas

Haga Click Aquí
para ver el mapa..

Calle España N º 9 Bajo A
Ciempozuelos- Madrid, Esp.
Código postal: 28350

Estos son nuestros
Horarios de atención:

Lun. - Vie.: 9 a 13 / 18 a 20
Sabados:  Cita concertada
Otros Horarios: Cita concertada

Tiene preguntas, dejenos
saber por estos medios:

Email: info@apolonia.es
Formulario de contacto: click aquí
O encuentrenos en las redes sociales

Estética Dental

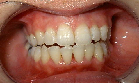
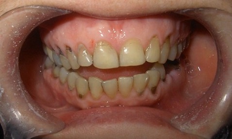
A= Blanqueamiento_Antes
B= Blanqueamiento_Proceso
C= Blanqueamiento_Final
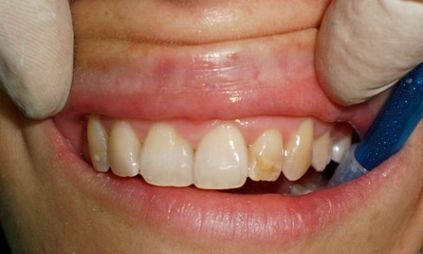
D= Diseño_Diente
E= Estética
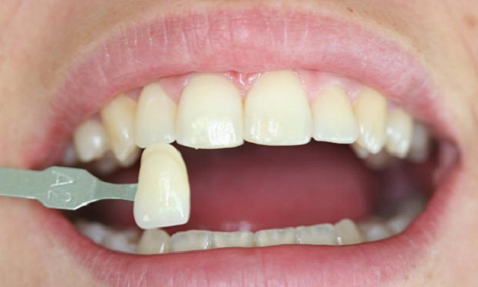
F= Funda_ceramica

Videos (ES)

Apolonia Clinica Dental- Ciempozuelos Madrid ES2

Acerca de Nosotros

Apolonia nació en 1990 en plena plaza del ayuntamiento de Ciempozuelos (sur de Madrid), hoy cuenta con una nueva instalación ...Leer más

Tel. 91 893 30 47